
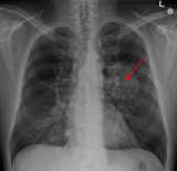
Joy Cancer Awareness Month: Late diagnosis fuelling high lung cancer deaths in Ghana — Oncologist warns
[Joy Online - Ghana] - 16/10/2025
Clinical Oncologist at the Korle Bu Teaching Hospital, Dr Nana Ama Wadee, has raised concern over Ghana’s rising lung cancer deaths, warning that many patients are dying because the disease is often detected too late.
... Article published by "Joy Online" (Ghana), read more
For any information or claim on this article, see directly with the newspaper.
In Ghana newspapers
Repeat dud cheque offenders to face 3-year ban and credit restrictions
The Bank of Ghana (BoG) has announced stricter sanctions against individuals and businesses that issue dud cheques (…)
[Joy Online] - 15/10/2025
Repair works on damaged 161Kv Aboadze-Tarkwa transmission line ongoing – Energy Ministry
The Ministry of Energy and Green Transition wishes to inform the public that Ghana Grid Company Ltd. (GRIDCo’s) (…)
[3news] - 15/10/2025
Why Is Ghana’s Waca Resip 2 Delaying?
News Ghana, Latest Updates and Breaking News of Ghana, Joel Degue, https://www.newsghana.com.gh/why-is-ghanas-waca-resip
[News Ghana] - 15/10/2025
Governor Asiama: Mahama made a factual statement when he said the ‘cedi is being allowed to adjust to its true market value’
The comment made by President John Dramani Mahama that the cedi was being allowed to adjust to its true market value (…)
[3news] - 9/10/2025
NAIMOS raids notorious ‘Gangway’ hideout at Aboso [Photos]
The National Anti-Illegal Mining Operations Secretariat (NAIMOS) has dismantled a well-known illegal mining hub, (…)
[AdomOnline] - 7/10/2025